新闻中心 /
忽悠人的“多发性肌炎”是什么鬼
发布时间:2018-06-01
忽悠人的“多发性肌炎”是什么鬼
一、 肝功能异常而误诊肝炎
不 少多发性肌炎在早期被误诊为“肝炎”。因为面对一位以乏力为主诉的病人,如果医生没有发现其他异常的话,常常给病人检查肝功能。临床医生往往顺着这样一个 思维:“乏力——转氨酶升高(肝功能异常)——肝炎”下诊断,反复就诊多家医院(省市级大医院),还找了不少“江湖医生”。经过积极的保肝治疗,也试过许 多治疗肝炎所谓的“偏方、秘方”,半年多时间,花了上十万元,均无济于事,病情进行性加重,最后卧床不起。
二、肌酸激酶增高(CK,及CK-MB)误诊为“心脏病”
急性心肌梗死和严重的心肌炎常出现肌酶谱增高。由于临床医生普遍对心脏病较有印象,一些医生对多发性肌炎比较陌生,一见到肌酸激酶(CK)肌酶谱增高,就考虑到心脏病。因此多发性肌炎也常被误诊为心脏病。鉴别要点在于心电图的特征和四肢近端肌力的改变。
三、误诊重症肌无力
重 症肌无力是一种由于神经末梢与肌肉接头处,神经介质的异常所引起的病变,属于神经科的疾病。而多发性肌炎是免疫介导的肌肉炎症性病变,属风湿科的疾病。二 者均表现为肌无力,常常出现误诊。区别在于重症肌无力伴有眼睑下垂,晨起时症状较轻,白天逐渐加重,傍晚更加明显,四肢远端和近端均无力;而多发性肌炎近 端肌无力为主,无眼睑下垂。
四、多发性肌炎是什么?
多发性肌炎是一种主要累及骨骼肌的自身免疫性结缔组织病。本病世界各地均有发病,本病可见于任何年龄,但多见于45—60岁,伴发恶性肿瘤的病人年龄在60岁左右。女性病人约两倍于男性。
五、多发性肌炎的病因
多发性肌炎和皮肌炎的确切病因尚不清楚,可能与感染、遗传、免疫、肿瘤等因素有关。另外,免疫接种,氯喹、可卡因、秋水仙碱、青霉胺、降脂药等药物也可引起或诱发本病的发生。
六、多发性肌炎有哪些症状
这 种疾病起病比较隐匿,早期主要侵犯骨骼肌系统,以四肢的近端肌肉受累较明显,特别是骨盆带肌、肩胛带肌的损害更加突出。因此,病人主要表现为对称性的四肢 的近端肌肉无力,部分可出现肩周或臀部酸痛。早期轻症者可仅表现为梳头、穿衣时抬高手吃力,下蹲站起和上楼梯困难;逐渐发展,病人不能自己由卧位转为坐位 (不能做“仰卧起坐”的动作),行走困难;最后卧床不起。
如何诊断多发性肌炎?需要做哪些检查?
一、肌酶谱的检查:
天冬氨酸转移酶(ALT)、丙氨酸转移酶(AST)、乳酸脱氢酶(LDH)、肌酸激酶(CK),肌酸激酶同工酶(CK-MB)等,其中以CK最为敏感
二、肌炎抗体普:
抗核抗体,抗氨基酰tRNA合成酶(aminoacyl—tRNA synthetase。ARS)抗体、抗信号识别颗粒 (signal recognition particle,SRP)抗体和抗Mi-2抗体,抗PM-Scl抗体等。
三、肌电图:
肌电图可呈自发性纤颤,多相性短时限电位等肌源性损害表现。
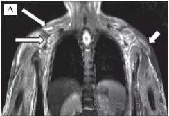
四、肌肉MRI:
四肢近端肌肉等出现炎性渗出表现。
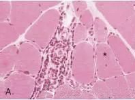
五、肌肉活检行病理检查:
取近端肌肉如三角肌、肱二头肌,股四头肌等部位,有时候可结合肌肉MRI影像显示肌肉炎性渗出明显的地方取材,提高阳性率。
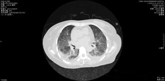
六、胸部CT:
部分多发性肌炎患者可以累及到肺脏,出现间质性肺炎表现,故需要性胸部CT评估肺部病变情况。













